Комп’ютерна томографія (КТ) пазух носа є важливим діагностичним інструментом, який значно перевершує звичайний рентген у виявленні та оцінці гаймориту. Основна причина цього полягає в здатності КТ надавати детальну тривимірну візуалізацію анатомічних структур, що дозволяє лікарям краще розуміти складні патології, такі як остиомеатальний комплекс, викривлення перегородки, поліпи та гіперплазія слизової оболонки.
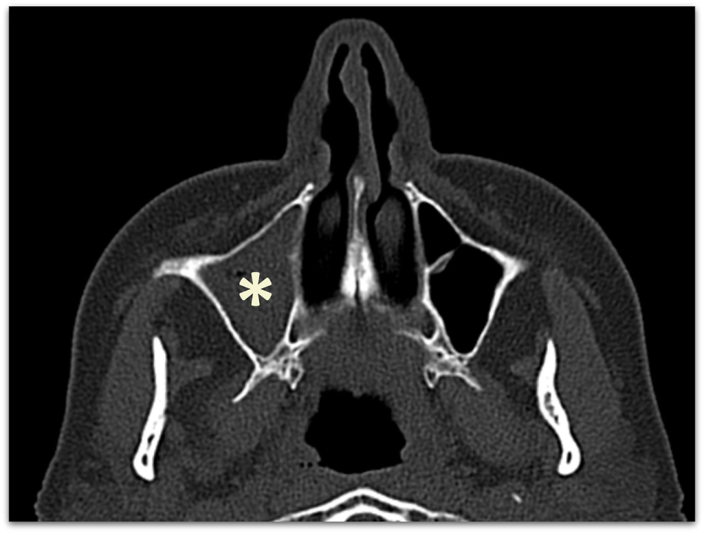
Остіомеатальний комплекс є ключовою зоною, де відбувається дренаж пазух носа. Будь-які аномалії в цій області можуть призвести до обструкції та хронічного гаймориту. Звичайний рентген не може адекватно візуалізувати цю зону через обмежену роздільну здатність і двовимірність зображень. КТ, навпаки, дозволяє чітко бачити цю область, виявляючи навіть незначні зміни, які можуть бути причиною захворювання.
Що показує КТ пазух носа?
Комп’ютерна томографія дає пошарове 3D-зображення всіх приносових пазух:
- гайморових
- лобових
- клиноподібних
- решітчастого лабіринту
На відміну від рентгену, КТ дозволяє детально оцінити:
- рівень рідини
- потовщення слизової
- анатомічні аномалії
- Поліпи
- кісти
- стан кісткових стінок
Це особливо важливо при хронічному гаймориті або частих рецидивах.

Чому рентген часто «не бачить проблему»?
Рентген – це плоска картинка. Структури накладаються одна на одну, і дрібні зміни можуть бути просто непомітними. КТ створює серію тонких зрізів, які можна переглядати в різних площинах.
⚠️ Завантажте КТ, МРТ, рентген або мамографію — отримайте результат від досвідченого лікаря до 24 годин
Завантажити дослідженняОстіомеатальний комплекс – це ключова зона, через яку відбувається дренаж пазух.
Навіть невелике звуження тут може спричинити порушення вентиляції, застій слизу та розвиток хронічного гаймориту. Рентген не дозволяє якісно оцінити цю ділянку. КТ – дозволяє чітко побачити навіть мінімальні зміни.
Викривлення носової перегородки є ще однією поширеною проблемою, яка може спричинити або погіршити гайморит. Хоча рентген може виявити значні викривлення, він не здатний точно оцінити їх вплив на дренаж пазух. КТ забезпечує детальну оцінку ступеня викривлення та його впливу на навколишні структури.
Поліпи та гіперплазія слизової оболонки також є важливими факторами, які можуть спричинити обструкцію пазух. Звичайний рентген не може виявити ці м’якотканинні утворення з достатньою точністю. КТ, завдяки високій роздільній здатності, дозволяє виявити навіть невеликі поліпи та оцінити ступінь гіперплазії слизової оболонки.
Згідно з останніми статистичними даними, близько 30% випадків хронічного гаймориту пов’язані з аномаліями остиомеатального комплексу, які не можуть бути виявлені за допомогою звичайного рентгену. Це підкреслює важливість використання КТ для точної діагностики та ефективного лікування.
Коли лікар призначає КТ при гаймориті?
КТ пазух носа рекомендована, якщо:
- симптоми тривають понад 10–14 днів
- гайморит часто повторюється
- лікування антибіотиками не дає ефекту
- є підозра на ускладнення
- планується оперативне втручання
У випадку звичайного гострого гаймориту без ускладнень рентген або навіть клінічного огляду може бути достатньо.
Таким чином, КТ пазух носа є незамінним інструментом у діагностиці гаймориту, оскільки дозволяє виявити та оцінити складні анатомічні зміни, які можуть бути пропущені при звичайному рентгенологічному обстеженні. Це забезпечує більш точну діагностику та сприяє вибору оптимальної стратегії лікування.