КТ-ангіографія — це сучасний метод обстеження судин, який дозволяє побачити їх стан без катетерів, розрізів і госпіталізації. Дослідження триває кілька хвилин і дає лікарю детальну 3D-картину артерій та вен у будь-якій ділянці тіла. Саме тому цей метод дедалі частіше замінює класичну інвазивну ангіографію в діагностичних цілях.
Чому КТ-ангіографія?
КТ-ангіографія є неінвазивним методом візуалізації судин, що дозволяє детально оцінити їх стан без необхідності хірургічного втручання. Основним принципом цього методу є болюсне контрастування, яке забезпечує чітке зображення судинної системи. Це досягається шляхом введення контрастної речовини, яка підсилює видимість судин на знімках, отриманих за допомогою комп’ютерної томографії.
Основою КТ-ангіографії є болюсне введення контрастної речовини у вену. Контраст «підсвічує» судини, і комп’ютерна томографія фіксує їх у момент максимального наповнення кров’ю. У результаті отримують чіткі пошарові зображення, які можна переглядати у різних площинах та реконструкціях.

Що виявляє КТ-ангіографія?
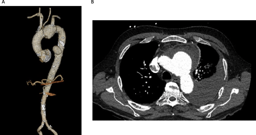
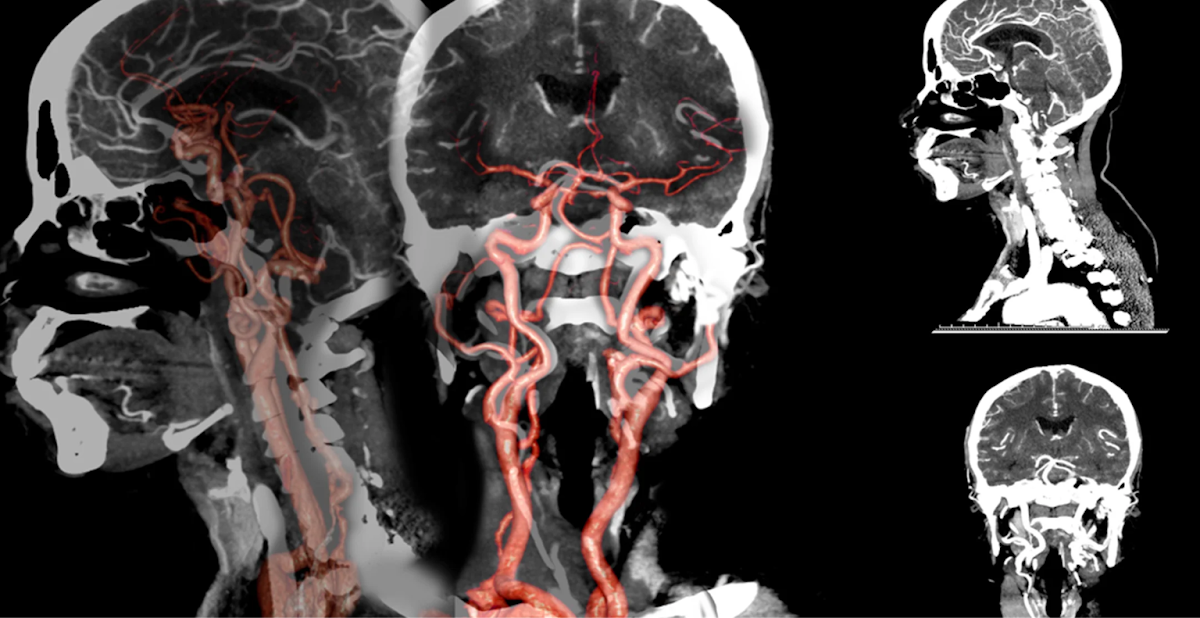
КТ-ангіографія дозволяє виявити аневризми — патологічні розширення судин, що можуть становити загрозу розриву. Чим раніше виявлена аневризма, тим більше шансів запобігти небезпечним ускладненням. Метод також точно визначає стенози — звуження артерій, які порушують кровотік і можуть призводити до інсульту або інфаркту.
⚠️ Завантажте КТ, МРТ, рентген або мамографію — отримайте результат від досвідченого лікаря до 24 годин
Завантажити дослідженняДослідження ефективне для діагностики атеросклерозу. КТ-ангіографія показує наявність атеросклеротичних бляшок, їх розміри та ступінь перекриття просвіту судини. Це дає можливість оцінити ризики та обрати оптимальну тактику лікування — медикаментозну терапію, стентування або хірургічне втручання.
Метод також застосовується для виявлення вроджених судинних мальформацій, тромбозів, тромбоемболії легеневої артерії та порушень мозкового кровообігу. У невідкладних ситуаціях КТ-ангіографія дозволяє швидко прийняти клінічне рішення, що може врятувати життя.
Переваги КТ-ангіографії
Серед головних переваг КТ-ангіографії — висока точність, швидкість проведення та мінімальна інвазивність. Пацієнту не потрібно перебувати у стаціонарі, а сама процедура зазвичай займає 10–20 хвилин. Більшість людей відчувають лише короткочасне тепло під час введення контрасту.
Важливо враховувати, що контрастна речовина виводиться через нирки, тому перед обстеженням лікар може рекомендувати перевірити рівень креатиніну. У більшості пацієнтів із нормальною функцією нирок дослідження є безпечним. Протипоказаннями можуть бути тяжка ниркова недостатність або підтверджена алергія на йодовмісні препарати.
Завдяки високій інформативності та технологічному розвитку, КТ-ангіографія стала одним із ключових методів сучасної судинної діагностики. Вона дозволяє перевірити стан судин без операції, мінімізувати ризики та своєчасно розпочати лікування.
Атеросклеротичні бляшки, які є основною причиною серцево-судинних захворювань, можуть бути виявлені та оцінені за допомогою КТ-ангіографії. Це дозволяє лікарям визначити ступінь ураження судин та розробити ефективну стратегію лікування.
Згідно з останніми статистичними даними, використання КТ-ангіографії зросло на 15% за останні п’ять років, що свідчить про зростаючу довіру до цього методу серед медичних фахівців. Це зростання обумовлене його високою точністю, швидкістю проведення та відсутністю необхідності в хірургічному втручанні.
Таким чином, КТ-ангіографія є важливим інструментом у діагностиці та лікуванні судинних захворювань, що дозволяє знизити ризики та підвищити ефективність медичних втручань.