Рак легень — одне з найпоширеніших онкологічних захворювань у світі. Його небезпека полягає в тому, що на ранніх стадіях він може не викликати виражених симптомів. Саме тому комп’ютерна томографія (КТ) відіграє ключову роль у ранньому виявленні патології.
Під час аналізу КТ-знімків радіолог звертає увагу на низку характерних ознак, які можуть свідчити про злоякісний процес. Розглянемо, що саме шукає лікар і як виглядають перші підозрілі зміни.
Статистика
Згідно з останніми статистичними даними, рак легень залишається однією з провідних причин смертності від раку у світі. За даними Всесвітньої організації охорони здоров’я, у 2020 році було зареєстровано понад 2,2 мільйона нових випадків раку легень, що становить приблизно 11% від усіх нових випадків раку. Це підкреслює важливість ранньої діагностики та виявлення перших ознак захворювання на КТ.

Як виглядають здорові легені на КТ
У нормі легенева тканина на КТ виглядає темною через наявність повітря. Судини та бронхи мають чіткі контури, а структура легень — рівномірна.
Будь-які ущільнення, вузли або зміни структури потребують уважного аналізу, оскільки можуть бути як доброякісними, так і злоякісними.

Солідне утворення: що це означає
Однією з перших ознак, на яку звертає увагу радіолог, є солідне утворення. Це ділянка в легені, яка виглядає щільнішою (світлішою) порівняно з навколишньою тканиною. Таке утворення може бути невеликим вузлом чи більшим пухлинним утворенням.
Важливо розуміти, що не всі солідні утворення є раком. Вони можуть бути пов’язані з запаленням, рубцевими змінами чи доброякісними пухлинами.
Однак саме такі утворення потребують детальної оцінки: їхнього розміру, форми, контурів і динаміки.
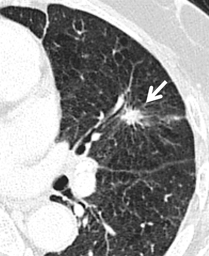
Спікулоподібні / шипоподбіні контури («промені»)
Розмір утвореня вимірюється в міліметрах (мм). Багато утворень мають дуже невеликі розміри. Наприклад, вони приблизно розміром з горошину (зазвичай близько 5 мм).
Утворення чи вузлики в легенях можуть мати гладку поверхню або нерівну поверхню через наявність шипів (виступів або гострих кінчиків) або лобулів (вигляд декількох округлих вузликів разом).
Однією з характерних ознак злоякісного процесу є спікулоподібні (шипоподбіні) контури. Це означає, що краї утворення виглядають нерівними і мають вигляд «променів», які розходяться в навколишню тканину. Такі контури можуть свідчити про інвазивний ріст пухлини та її проростання в навколишні тканини.

На відміну від доброякісних утворень, які часто мають чіткі й рівні межі, злоякісні зміни частіше виглядають «рваними» та неоднорідними.


Деструкція тканин
Ще одна важлива ознака — деструкція, тобто руйнування нормальної структури тканин. На КТ це може проявлятися як порушення структури легені, ураження прилеглих тканин чи зміни в кістках грудної клітки.
Деструктивні зміни можуть свідчити про агресивний перебіг захворювання, коли пухлина руйнує навколишні структури.
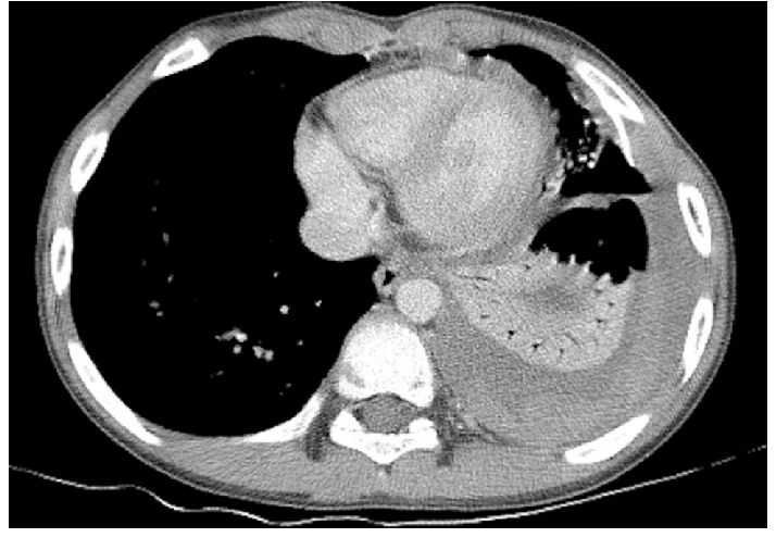
Метастази
Рак легень може поширюватися за межі первинного вогнища, утворюючи метастази.
На КТ радіолог оцінює:
- наявність додаткових вузлів у легенях,
- ураження інших органів (печінки, наднирників тощо),
- зміни в кістках.
Метастази можуть виглядати як множинні округлі утворення різного розміру. Їх виявлення є важливим для визначення стадії захворювання та вибору тактики лікування.
Лімфаденопатія
Ще один важливий показник — лімфаденопатія, тобто збільшення лімфатичних вузлів.
Лімфатичні вузли розташовані в грудній клітці та виконують захисну функцію. При онкологічних процесах вони можуть збільшуватися через поширення пухлинних клітин та реакцію імунної системи.
На КТ лікар оцінює розмір лімфатичних вузлів, їхню структуру та локалізацію. Збільшені вузли можуть бути ознакою поширення захворювання.
⚠️ Завантажте КТ, МРТ, рентген або мамографію — отримайте результат від досвідченого лікаря до 24 годин
Завантажити дослідженняЧому важлива рання діагностика
На ранніх стадіях рак легень може проявлятися лише невеликим утворенням без симптомів. Саме тому КТ є одним із найефективніших методів його виявлення.
Чим раніше виявлено зміни, тим вищі шанси на ефективне лікуваннята менший ризик поширення захворювання. Це напряму означає кращий прогноз для пацієнта. В цьому контексті важливою є розшифровка результатів діагностики досвідченим радіологом вузької спеціалізації.
Про актуальність експертної інтерпретації
Інтерпретація КТ легень потребує досвіду, адже багато змін можуть виглядати схоже. Наприклад, запальні процеси іноді імітують пухлини.
Радіолог аналізує форму та контури утворення, щільність і структуру та наявність супутніх змін (лімфаденопатії, метастазів), враховуючи при цьому клінічні дані пацієнта.
У складних випадках пацієнти можуть звернутися задругим висновком рентгенолога, щоб уточнити результати дослідження. Отримати експертну оцінку можна, звернувшись до сервісу RadioLance, що надає доступ до вузькопрофільних радіологів.
Отже, КТ є ключовим методом раннього виявлення раку легень. Радіолог звертає увагу на такі ознаки, як солідні утворення, спікулоподібні контури, деструкція тканин, метастази та лімфаденопатія. Ці зміни не завжди означають рак, але потребують уважного аналізу та, за потреби, додаткових обстежень.
Своєчасна діагностика та правильна інтерпретація результатів КТ допомагають виявити захворювання на ранній стадії та значно підвищують ефективність лікування. Залучення фахівців RadioLance дозволяє уникнути неправильної розшифровки та мінімізувати ризики для пацієнта.