Комп’ютерна томографія легень — один із найточніших методів оцінки стану легеневої тканини. Саме КТ дозволяє виявити зміни, які часто не видно на звичайній рентгенографії. Однак для пацієнтів висновок радіолога може виглядати складним і незрозумілим: у ньому зустрічаються такі терміни, як «матове скло», «консолідація», «ретикуляція» або «фіброзні зміни».
Щоб правильно інтерпретувати результати дослідження, важливо розуміти, що означають ці поняття та як вони пов’язані зі структурою легень.
Як поділяються легені на сегменти
У висновках КТ часто вказуються конкретні ділянки ураження, наприклад: S1, S6 або S10. Це позначення бронхолегеневих сегментів — анатомічних частин легені, які мають власні бронхи та судини.
У кожній легені виділяють сегменти S1–S10:
Права легеня:
- S1 — верхівковий сегмент
- S2 — задній
- S3 — передній
- S4 — латеральний (середня частка)
- S5 — медіальний
- S6 — верхній сегмент нижньої частки
- S7 — медіальний базальний
- S8 — передній базальний
- S9 — латеральний базальний
- S10 — задній базальний
Ліва легеня має подібну сегментацію, хоча деякі сегменти можуть бути об’єднані.

У висновку КТ лікар вказує сегменти для точного опису локалізації змін. Наприклад, «Вогнища матового скла у сегментах S6–S10» означає, що зміни розташовані в нижніх відділах легень.
⚠️ Завантажте КТ, МРТ, рентген або мамографію — отримайте результат від досвідченого лікаря до 24 годин
Завантажити дослідженняЩо означає термін «матове скло»
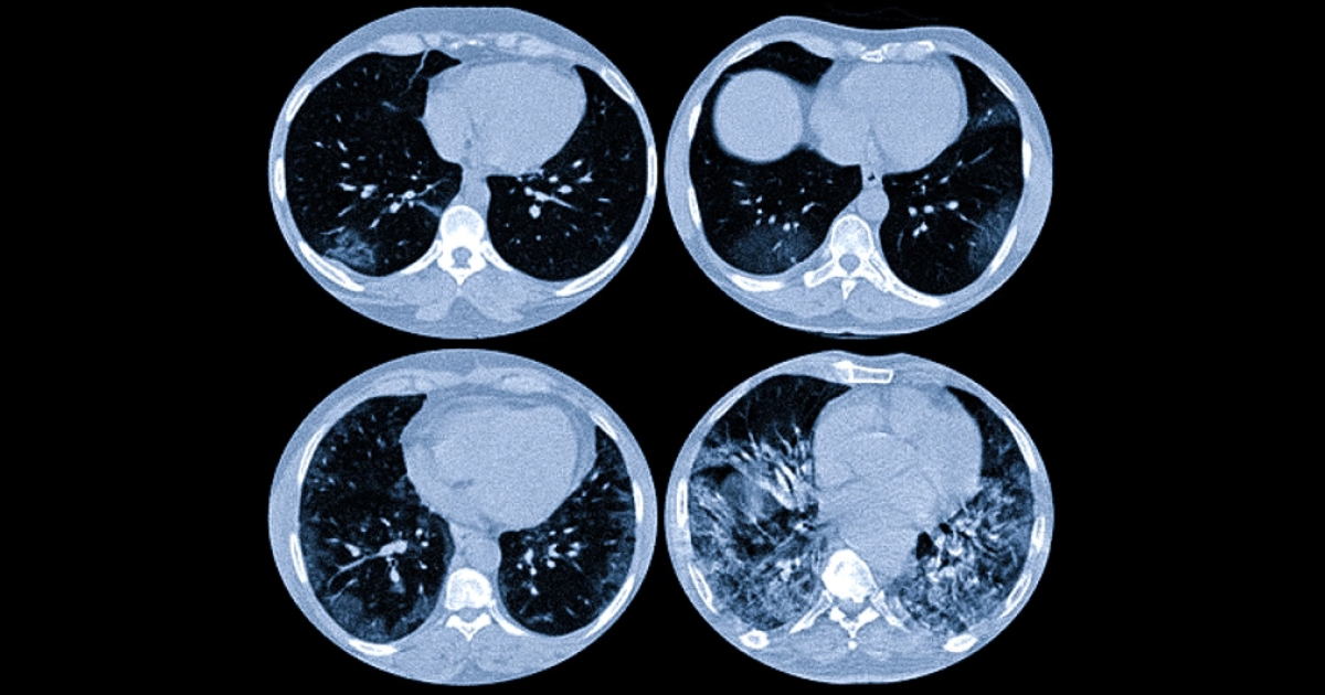
Термін «матове скло» (ground-glass opacity) означає ділянку легеневої тканини з підвищеною щільністю, через яку все ще видно судини та бронхи.
Це важливий діагностичний маркер, але він не є самостійним захворюванням. Такі зміни можуть виникати при:
- вірусних або бактеріальних пневмоніях,
- запальних процесах,
- набряку легеневої тканини,
- ранніх стадіях фіброзу,
- постзапальних змінах.
Головна особливість «матового скла» — часткове збереження повітряності легені. Саме тому на КТ просвічуються судини.

Консолідація: більш щільні зміни
Ще один термін, який часто зустрічається у висновках — консолідація.
Це ділянка легені, де повітря в альвеолах повністю заміщується рідиною, клітинами запалення або іншими тканинами. На КТ така зона виглядає значно щільнішою, ніж «матове скло».
Причинами консолідації можуть бути:
- бактеріальна пневмонія,
- важкі запальні процеси,
- крововилив у легеневу тканину,
- пухлинні ураження.
На відміну від «матового скла», при консолідації судини та бронхи можуть бути погано видимими або зовсім не визначатися.
Що таке ретикуляція
Ретикуляція — це поява на КТ дрібної сітчастої структури в легенях. Вона формується через потовщення міжальвеолярних перегородок або сполучнотканинних елементів.
На зображенні це виглядає як тонка сітка або мережа.
Ретикулярні зміни можуть свідчити про:
- хронічні запальні процеси,
- інтерстиціальні захворювання легень,
- початкові стадії фіброзу,
- постінфекційні зміни.
Ретикуляція часто поєднується з іншими ознаками — наприклад, «матовим склом».
Дифузні зміни в легенях
У висновку КТ можна зустріти фразу «дифузні зміни». Це означає, що патологічний процес поширюється не на одну локальну ділянку, а охоплює значну частину легеневої тканини або обидві легені.
Дифузні зміни можуть включати:
- множинні ділянки «матового скла»,
- ретикуляцію,
- фіброзні перебудови,
- потовщення міжчасточкових перегородок.
Такий опис часто використовується при інтерстиціальних захворюваннях або постзапальних процесах.
Фіброз і пневмосклероз
Одним із важливих понять у висновках КТ є фіброз.
Фіброз означає заміщення нормальної легеневої тканини сполучною тканиною. У результаті легені стають менш еластичними, що може впливати на їхню функцію.
На КТ фіброз може проявлятися у вигляді:
- ретикулярного малюнка,
- деформації бронхів,
- зменшення об’єму сегментів,
- щільних фіброзних тяжів.
Близьким терміном є пневмосклероз — стан, при якому сполучна тканина заміщує частину легеневої паренхіми після запалення або пошкодження.
Такі зміни можуть виникати після:
- пневмоній,
- тривалих запальних процесів,
- хронічних захворювань легень,
- перенесених інфекцій.
Чому важлива точна інтерпретація КТ
Сам по собі опис «матового скла», ретикуляції чи фіброзу не є остаточним діагнозом. Радіолог описує морфологічні зміни, а клінічний лікар інтерпретує їх у поєднанні з симптомами, аналізами та історією хвороби.
Точність опису має велике значення, оскільки визначає подальшу діагностичну тактику та допомагає оцінити стадію захворювання. Вчасно проведене дослідження дає змогу відстежувати динаміку лікування
Саме тому в складних випадках може бути корисним отримання другого висновку рентгенолога, особливо коли мова йде про інтерстиціальні захворювання легень або підозру на фіброзні зміни.
Отже, КТ легень дає детальну інформацію про структуру легеневої тканини. Терміни «матове скло», «консолідація», «ретикуляція» або «фіброз» описують різні типи змін, які можуть виникати при запальних, інфекційних або хронічних процесах.
Розуміння сегментів легень S1–S10 допомагає точно визначити локалізацію патології, а правильна інтерпретація результатів дозволяє лікарям обрати оптимальну тактику лікування.
Саме тому у сучасній медицині якісний аналіз КТ-досліджень відіграє ключову роль у ранній діагностиці та контролі захворювань легень, що значно підвищує ефективність лікування.