Захворювання тонкого кишечника часто залишаються «сліпою зоною» для стандартної діагностики. Через анатомічні особливості цей відділ складно оцінити за допомогою звичайної ендоскопії чи УЗД. Саме тому у сучасній радіології все частіше застосовується КТ-ентерографія — високоточний метод візуалізації, який дозволяє детально дослідити стан кишки, виявити запальні процеси та пухлини.
Що таке КТ-ентерографія?
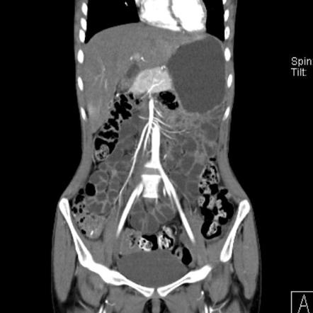
КТ-ентерографія — це спеціалізований вид комп’ютерної томографії, який фокусується на тонкому кишечнику. Перед дослідженням пацієнт випиває контрастну рідину, що розширює просвіт кишки. Також вводиться внутрішньовенний контраст для кращої візуалізації судин та тканин. Це дозволяє отримати чіткі зображення стінок кишечника, оцінити їх структуру, товщину, кровопостачання та виявити патологічні зміни.
За даними клінічних досліджень, КТ-ентерографія демонструє високу ефективність у виявленні патологій тонкого кишечника: чутливість методу при діагностиці активної фази хвороби Крона становить у середньому 85–95%, а специфічність — близько 90%. Для виявлення ускладнень, таких як стриктури, абсцеси чи свищі, точність також перевищує 90%. Щодо пухлин кишечника, КТ-ентерографія дозволяє виявляти значну частину клінічно значущих новоутворень, особливо при їх розмірі понад 1–2 см, що робить цей метод важливим інструментом ранньої діагностики та планування подальшого лікування.
Як використовується КТ-ентерографія у діагностиці хвороби Крона? Хвороба Крона — це хронічне запальне захворювання кишечника, яке може вражати будь-яку його ділянку. КТ-ентерографія є одним із ключових методів діагностики та моніторингу цього стану.
⚠️ Завантажте КТ, МРТ, рентген або мамографію — отримайте результат від досвідченого лікаря до 24 годин
Upload the studyОсновні ознаки, які дозволяє виявити дослідження:
- Потовщення стінок кишки. Це одна з найбільш ранніх та характерних ознак запалення. У нормі стінка кишечника тонка і рівномірна, але при хворобі Крона вона стає потовщеною через набряк та інфільтрацію запальними клітинами.
- Симптом «мішені». Так званий «target sign» або симптом «мішені» виникає через шарувату структуру ураженої стінки кишки. На КТ це виглядає як чергування ділянок різної щільності, що відображає набряк слизової та підслизового шару разом із посиленим контрастуванням.
- Активна фаза запалення. У період загострення КТ-ентерографія демонструє інтенсивне накопичення контрасту в стінці кишки, набряк навколишніх тканин та розширення судин брижі (так званий «comb sign»). Ці ознаки допомагають лікарю відрізнити активний процес від хронічних змін і правильно підібрати лікування.
- Звуження просвіту. Тривалий запальний процес може призводити до формування стриктур — ділянок звуження кишки. Це небезпечне ускладнення, яке може викликати часткову або повну кишкову непрохідність. КТ-ентерографія дозволяє оцінити ступінь звуження, його протяжність та вплив на проходження вмісту кишечника.

Діагностика пухлин кишечника
Окрім запальних захворювань, КТ-ентерографія ефективно використовується для виявлення новоутворень тонкого кишечника, які часто довго не проявляються симптомами.
Метод дозволяє виявити пухлинні утворення навіть невеликого розміру та оцінити їх локалізацію та межі. Лікар може визначити ступінь ураження стінки кишки, виявити ускладнення (кровотечі, обструкцію) та запідозрити метастатичне поширення.
Особливо цінним є поєднання оцінки просвіту кишки та навколишніх структур, що дає повну картину патологічного процесу.
Переваги методу
КТ-ентерографія має низку важливих переваг:
- висока роздільна здатність зображень;
- швидкість проведення;
- можливість оцінки як внутрішньої, так і зовнішньої поверхні кишки;
- виявлення позакишкових ускладнень;
- доступність у порівнянні з деякими іншими методами.
Проте варто памʼятати, що якість інтерпретації результатів КТ-ентерографії має вирішальне значення. Саме тут важливу роль відіграє сервіс RadioLance.
RadioLance — це платформа, яка об’єднує досвідчених лікарів-радіологів і дозволяє отримати:
- експертну думку вузькопрофільних спеціалістів з абдомінальної радіології;
- другу думку у складних або неоднозначних випадках;
- швидку інтерпретацію досліджень без втрати якості;
- стандартизовані висновки, що враховують сучасні клінічні протоколи.
У контексті таких складних станів, як хвороба Крона чи пухлини кишечника, це особливо важливо, адже від точності опису залежить подальша тактика лікування.
Отже, КТ-ентерографія — це сучасний, інформативний та надійний метод діагностики захворювань тонкого кишечника. Вона дозволяє виявити ключові ознаки хвороби Крона — потовщення стінок, симптом «мішені», активну фазу запалення та звуження просвіту, а також ефективно діагностувати пухлини.
У поєднанні з професійною інтерпретацією результатів, зокрема за допомогою сервісу RadioLance, цей метод стає потужним інструментом для своєчасного виявлення патологій і вибору оптимального лікування.